矯正の症例:出っ歯

ふかつ歯科・矯正歯科HOME矯正の症例:出っ歯

出っ歯の症状

出っ歯は「上顎前突」と言います。上の歯が出ている咬み合わせの状態のため、口元が出てしまい、口が閉じづらいため歯が乾きやすく虫歯や歯周病のリスクが高くなります。また、咬み合う際、奥歯への負担が大きくなります。お子様場合は将来的に、正常な下顎の成長を阻害する可能性があります。

出っ歯の原因

遺伝的なもの(顎の骨格や歯の形態の出っ歯)、成長期における指しゃぶり、舌のくせ、口呼吸などが挙げられます。

出っ歯の症例

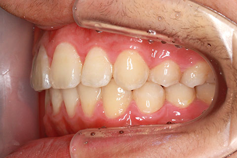
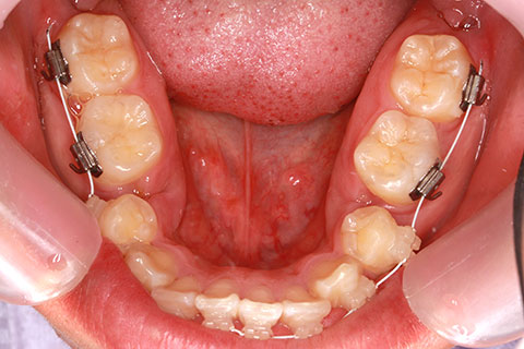
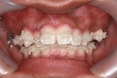
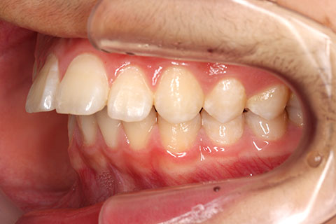
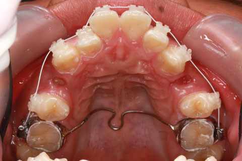
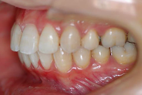
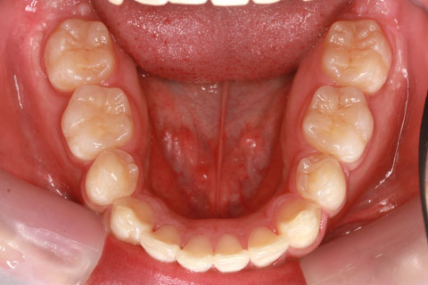
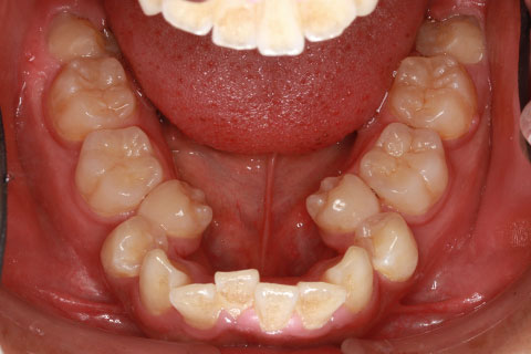
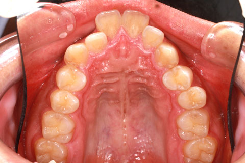
症例1

治療前

治療中

治療後

年齢・性別
14歳男性
治療期間
2年4ヶ月
抜歯
上下4番抜歯
治療費
80万(税込)
備考
マルチブラケットを用いた歯の矯正治療
治療内容
抜歯矯正にて上顎前突を改善
施術の副作用(リスク)
上顎前歯を舌側へ牽引する際、切歯孔へ前歯が近接すると、それ以上は舌側へ動かせない可能性があるリスクを説明した。

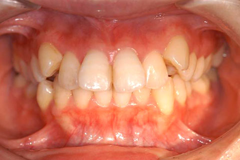
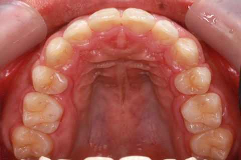
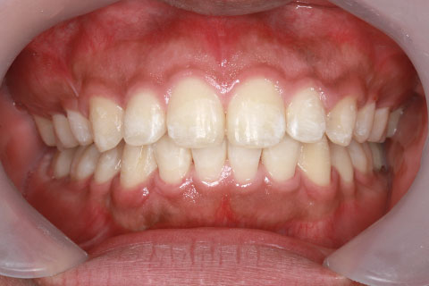
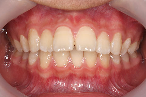
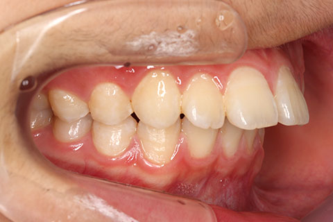
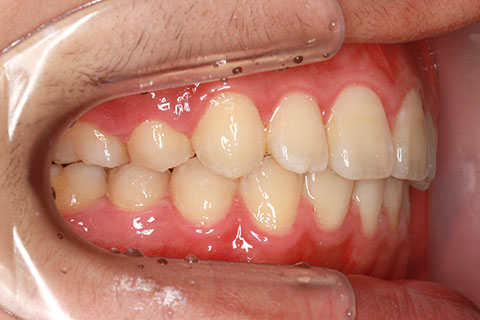
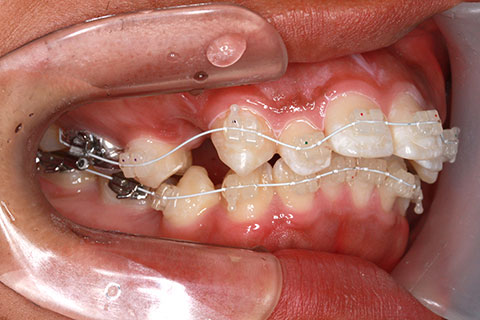
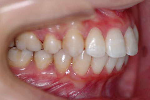
症例2

治療前

治療後

年齢・性別
25歳女性
治療期間
2年0ヶ月
抜歯
上顎4番抜歯
治療費
80万(税込)
備考
マルチブラケットを用いた歯の矯正治療
治療内容
抜歯矯正にて上顎前突を改善
施術の副作用(リスク)
上顎4番抜歯のクラスIIフィニッシュの咬合完成を目指すため、良好なイーラインは獲得できないかもしれないと説明した。

症例3

治療前

治療後

年齢・性別
13歳男性
治療期間
1年10ヶ月
抜歯
上顎4番抜歯
治療費
80万(税込)
備考
マルチブラケットを用いた矯正治療
治療内容
抜歯矯正にて上顎前突を改善
施術の副作用(リスク)
永久歯に生え変わって間もない年齢のため、虫歯と歯肉炎のリスクを危惧した。そのため、毎回ブラッシング指導を丁寧に行った。