ふかつ歯科・矯正歯科HOME矯正治療について:部分矯正
部分矯正
部分矯正が行える条件
当院では、前歯だけ気になる所を矯正したいという患者様には、部分矯正をすすめております。
- デコボコの程度が軽度~中度であること
- 奥歯の咬み合わせが良好であること
- 上下の歯が垂直的、水平的にズレがないこと
- 上下のアゴの骨格的バランスが悪くないこと
部分矯正の利点
全てのかみ合わせを治す通常の矯正治療と比較して、
- 矯正器具を全ての歯に付ける必要がないため煩わしさがなく、口腔内を清潔に保ちやすい
- 短い治療期間で終了することができる
- 金額的に安価である
などが挙げられます。
部分矯正の症例
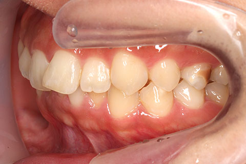
矯正期間6ヶ月
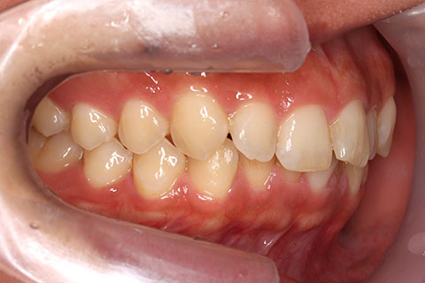
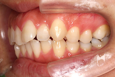
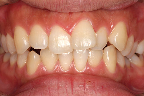
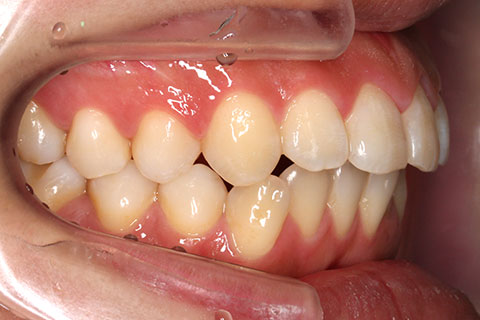
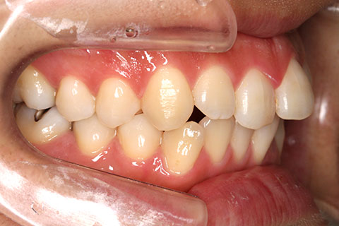
症例1
上の前歯6本に装置を付けて前歯部のみ矯正。
治療前
治療後
- 年齢・性別
- 25歳女性
- 治療期間
- 6ヶ月
- 抜歯
- なし
- 治療費
- 35万円
- 備考
- マルチブラケット法による矯正治療
- 治療内容
- 前歯6本のみIPRを併用した矯正治療
- 施術の副作用(リスク)
- 部分矯正のため、前歯の歯と歯の間を1ミリ程度削りながらスペースを確保して、歯並びを揃えていくため、知覚過敏の症状がおこる場合があります。
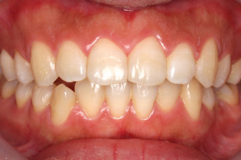
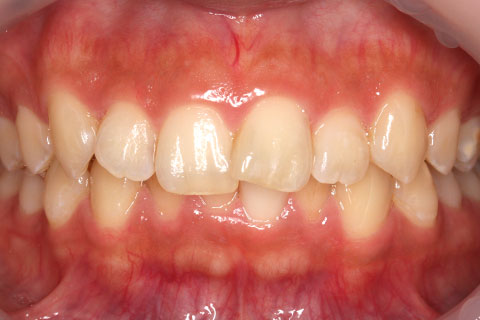
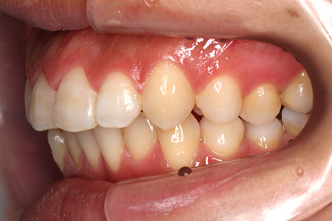
矯正期間6ヶ月
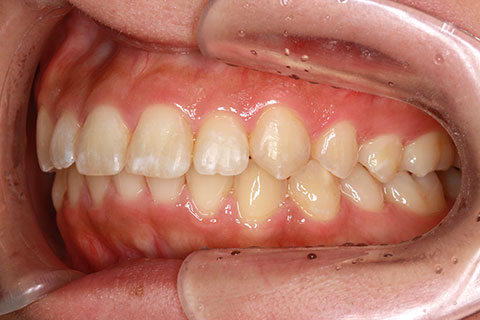
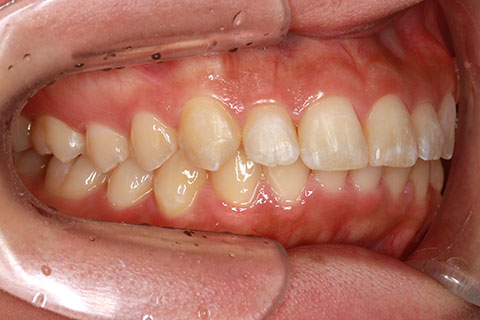
症例2
上の前歯6本に装置を付けて前歯部のみ矯正。
治療前
治療後
- 年齢・性別
- 20歳女性
- 治療期間
- 6ヶ月
- 抜歯
- なし
- 治療費
- 35万円
- 備考
- マルチブラケット法による矯正治療
- 治療内容
- 前歯6本のみIPRを併用した矯正治療
- 施術の副作用(リスク)
- 部分矯正のため、前歯の歯と歯の間を1ミリ程度削りながらスペースを確保して、歯並びを揃えていくため、知覚過敏の症状がおこる場合があります。