矯正の症例:交叉咬合

ふかつ歯科・矯正歯科HOME矯正の症例:交叉咬合

交叉咬合の症状

交叉咬合(こうさこうごう)とは、奥歯のかみ合わせが上下反対に咬んでいる状態のことです。アゴのズレが生じるため、見た目だけでなく、アゴの関節に悪影響を及ぼします。主に顎関節症の原因となります。

交叉咬合の症例

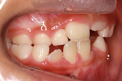
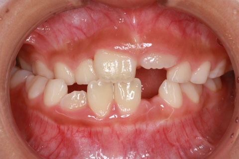
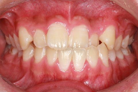
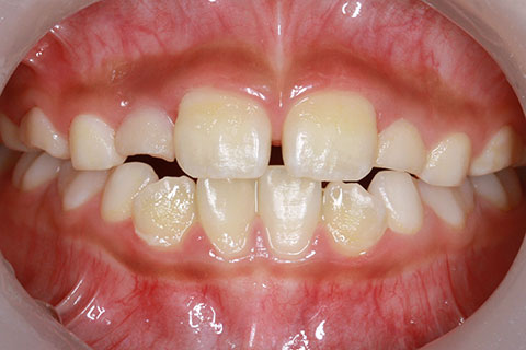
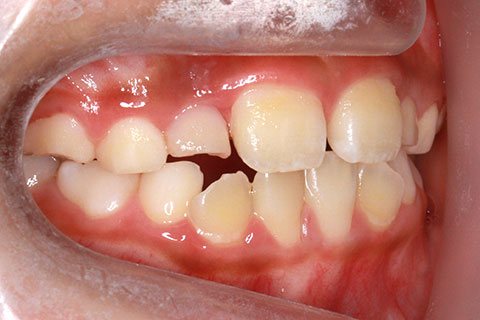
症例1

治療前

治療後

年齢・性別
15歳男性
治療期間
1年6ヶ月
抜歯
なし
治療費
80万(税込)
備考
マルチブラケットを用いた矯正治療
治療内容
前歯の交叉咬合をマルチブラケットにて改善
施術の副作用(リスク)
永久歯が生え変わって間もない年齢のため、虫歯、歯肉炎のリスクがあるため、毎食後のブラッシングの重要性を説明した。

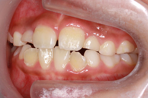
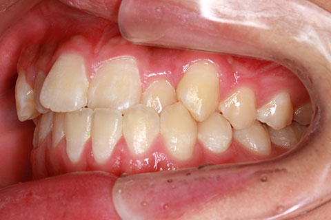
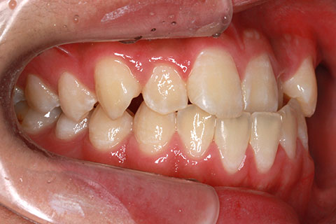
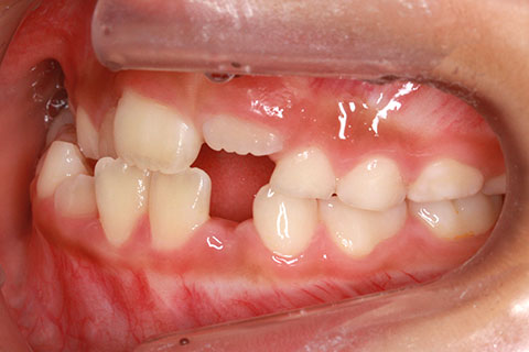
症例2

治療前

治療後

年齢・性別
8歳女性
治療期間
1年0ヶ月
抜歯
なし
治療費
35万円
備考
マルチブラケットを用いた矯正治療
治療内容
クワドヘリックスにて臼歯部交叉咬合を改善
施術の副作用(リスク)
混合歯列期で虫歯、歯肉炎のリスクが非常に高いため、毎月のブラッシング指導の徹底を行った。