矯正の症例:過蓋咬合

ふかつ歯科・矯正歯科HOME矯正の症例:過蓋咬合

過蓋咬合の症状

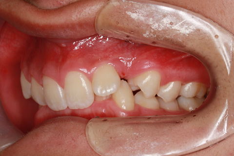
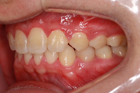
過蓋咬合(かがいこうごう)とは、上の鳩下の歯の重なりが深い状態の歯並びのことです。写真のように、下の歯が見えないほど深く咬み込んでいる状態です。深く咬み込んだ歯が歯肉を傷つけたり、歯と歯が接触している部分に噛む力が多くかかり、歯が摩耗しやすいです。

過蓋咬合の症例

症例1

初診時

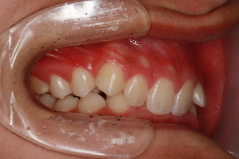
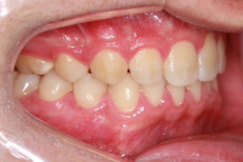
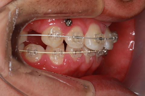
治療中

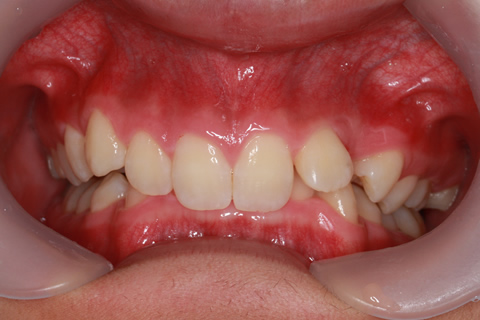
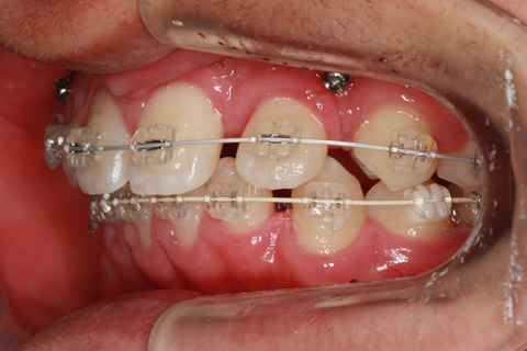
治療後

年齢・性別
16歳男性
治療期間
3年3ヶ月
抜歯
右上4番抜歯、左上3番抜歯
治療費
80万(税込)
備考
マルチブラケットを用いた矯正治療
治療内容
前歯部にアンカースクリューを用いてバイト改善
施術の副作用(リスク)
シビアな過蓋咬合のため、前歯を圧下させるためにアンカースクリューを埋入。アンカースクリューに生じる歯周炎などのリスクを説明した。