診療メニュー:歯肉形成(ガミースマイル治療)

ふかつ歯科・矯正歯科HOME診療メニュー:歯肉形成(ガミースマイル治療)

歯肉形成(ガミースマイル治療)

相談と施術時間
歯肉形成術の予約受付は、平日11時からのみとさせていただきます。
ホームページからの予約は受け付けておりません。
お気軽にお電話にてお問い合わせください。

ガミースマイルとは

ガミースマイルとは、口を大きく開けたり、笑ったりしたときに歯茎が見えすぎてしまう状態です。
そのことがコンプレックスとなり、笑顔に自信がもてなくなって悩んでいる方が非常に多く存在します。

歯肉形成術

ガミースマイルは病気ではないため、ほとんどの歯科医院で治せないのが現状です。
私はガミースマイルで悩んでいる方のために歯肉形成術を行っております。

麻酔を行い、歯の上に被った余分な歯肉を切り取るだけなので、たった30分で終了します。
歯肉の露出量が減少して、ガミースマイルは解消されます。

歯肉を切り取った分、歯は長くなりますが、私の経験上、それで見た目がおかしくなることはまずありませんのでご安心ください。

歯肉形成(ガミースマイル治療)の料金・費用

※料金はすべて税込価格です。

施術名 価格 本数・内容
歯肉形成 55,000円 上顎前歯6本+小臼歯4本
治療方法
歯肉形成(ガミースマイル治療)
治療説明
歯肉形成は、被り過ぎている歯茎を電気メスで切除することで、笑った時の歯茎の見えすぎであるガミースマイルを改善することを目的とした治療です。
治療費
55,000円(税込)
副作用(リスク)
2~3日は麻酔をした部分が内出血となり、しみたり、少し痛みを伴う可能性があります。
赤味や微出血がでることがあります。
一時的に口内炎のような痛みが残ることがあります。
治療期間
30分程度
治療回数
1回

ガミースマイルの症例

所要時間30分
症例1(電気メスによる歯肉形成)

治療前

歯肉形成(形成)症例1(電気メスによる歯肉形成)治療前

治療後

歯肉形成(形成)症例1(電気メスによる歯肉形成)治療後
年齢・性別
30歳女性
治療期間
一日
抜歯
なし
治療費
5.5万円
備考
治療内容
麻酔下で電気メスにて被覆した歯肉を削除し、歯冠部を露出させる。
施術の副作用(リスク)
一時的な知覚過敏。

症例2(電気メスによる歯肉形成)

治療前

歯肉形成(形成)症例2(電気メスによる歯肉形成)治療前

治療後

歯肉形成(形成)症例2(電気メスによる歯肉形成)治療後
年齢・性別
23歳
治療期間
一日
抜歯
なし
治療費
5.5万円
備考
治療内容
麻酔下で電気メスにて被覆した歯肉を削除し、歯冠部を露出させる。
施術の副作用(リスク)
一時的な知覚過敏。

症例3(電気メスによる歯肉形成)

治療前

歯肉形成(形成)症例3(電気メスによる歯肉形成)治療前

治療後

歯肉形成(形成)症例3(電気メスによる歯肉形成)治療後
年齢・性別
24歳
治療期間
一日
抜歯
なし
治療費
5.5万円
備考
治療内容
麻酔下で電気メスにて被覆した歯肉を削除し、歯冠部を露出させる。
施術の副作用(リスク)
一時的な知覚過敏。

症例4(電気メスによる歯肉形成)

治療前

歯肉形成(形成)症例4(電気メスによる歯肉形成)治療前

治療後

歯肉形成(形成)症例4(電気メスによる歯肉形成)治療後
年齢・性別
18歳
治療期間
一日
抜歯
なし
治療費
5.5万円
備考
治療内容
麻酔下で電気メスにて被覆した歯肉を削除し、歯冠部を露出させる。
施術の副作用(リスク)
一時的な知覚過敏。

症例5(電気メスによる歯肉形成)

治療前

歯肉形成(形成)症例5(電気メスによる歯肉形成)治療前

治療後

歯肉形成(形成)症例5(電気メスによる歯肉形成)治療後
年齢・性別
20歳
治療期間
一日
抜歯
なし
治療費
5.5万円
備考
治療内容
麻酔下で電気メスにて被覆した歯肉を削除し、歯冠部を露出させる。
施術の副作用(リスク)
一時的な知覚過敏。

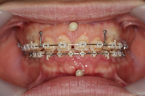
症例6(アンカースクリューを併用した矯正治療)

治療前

歯肉形成(形成)症例6(矯正用アンカースクリューで治療)治療前

治療中

歯肉形成(形成)症例6(インプラント矯正で治療)治療前

治療後

歯肉形成(形成)症例6(インプラント矯正で治療)治療後
年齢・性別
24歳
治療期間
1年6ヶ月
抜歯
上下4番抜歯済み
治療費
80万円
備考
他院での矯正治療の不具合による再治療
治療内容
噛み合わせが深いのを改善するために前歯上歯肉に2本のスクリューを埋入して牽引。
施術の副作用(リスク)
疼痛、咬合時痛、知覚過敏、歯根吸収、歯肉退縮が生じる可能性があります。

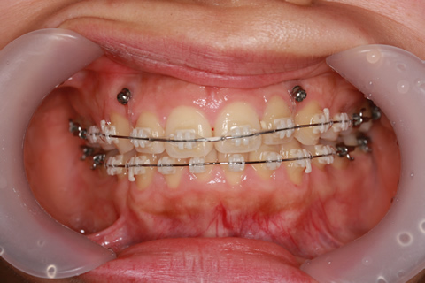
症例7(歯肉形成を併用した矯正治療)

治療前

歯肉形成(形成)症例7(歯肉形成を併用した矯正治療No.2)治療前

治療中

歯肉形成(形成)症例7(歯肉形成を併用した矯正治療No.2)治療前

治療後

歯肉形成(形成)症例7(歯肉形成を併用した矯正治療No.2)治療後
年齢・性別
16歳
治療期間
3年6ヶ月
抜歯
なし
治療費
80万円
備考
なし
治療内容
噛み合わせが深いのを改善するために前歯上歯肉に2本のスクリューを埋入して牽引。
施術の副作用(リスク)
疼痛、咬合時痛、知覚過敏、歯根吸収、歯肉退縮が生じる可能性があります。