ふかつ歯科・矯正歯科HOME矯正の症例:受け口(反対咬合)
受け口(反対咬合)の症状
下あごが上あごより突出しているか、上あごが下あごより後退している状態で、咬み合わせが逆になっているので反対咬合ともいいます。お子様の場合、受け口(反対咬合)を放置していると、成長期において下あごが過大に成長し悪化しますので、出来る限り早い時期に治療することをおすすめします。受け口(反対咬合)は見た目の問題だけでなく顎の動きを制限し、将来的に顎の痛み(顎関節症)を引き起こす場合があります。また、お子様の場合は、正常な上顎の成長を阻害する可能性があります。
受け口(反対咬合)の原因
遺伝によるもの、永久歯への生え変わりがスムーズに行なわれなかった場合、その他として、鼻の病気・舌の癖・舌が大きい・舌小帯の位置異常などが挙げられます。
受け口(反対咬合)の症例
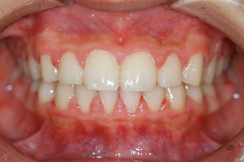
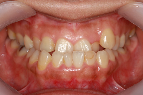
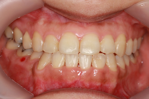
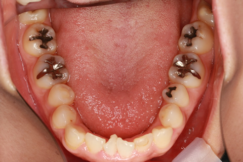
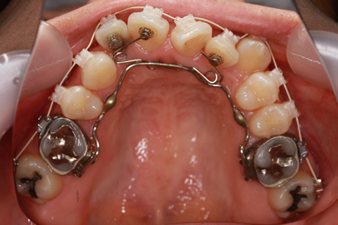
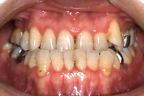
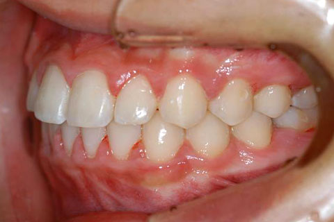
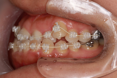
症例1
治療前
治療後
- 年齢・性別
- 13歳男性
- 治療期間
- 1年6ヶ月
- 抜歯
- なし
- 治療費
- 80万(税込)
- 備考
- マルチブラケットを用いた矯正治療
- 治療内容
- リンガルアーチにて被蓋改善
- 施術の副作用(リスク)
- 永久歯に生え変わって間もない年齢のため、虫歯と歯肉炎のリスクを危惧した。そのため、毎回ブラッシング指導を丁寧に行った。
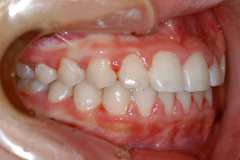
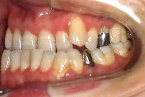
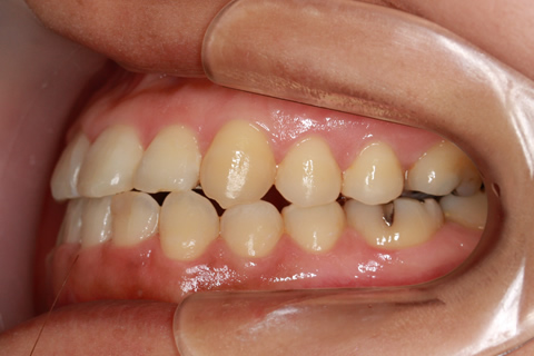
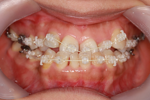
症例2
治療前
治療後
- 年齢・性別
- 33歳女性
- 治療期間
- 2年6ヶ月
- 抜歯
- 上顎4番抜歯
- 治療費
- 外科的矯正治療のため、保険適用
- 備考
- 下顎骨骨切り術を併用した外科的矯正治療
- 治療内容
- マルチブラケット法+下顎セットバック
- 施術の副作用(リスク)
- 骨格性反対咬合のため、外科的矯正治療を施した。全身麻酔下のもと行われるの外科治療のリスクを説明した。
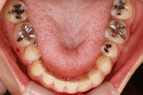
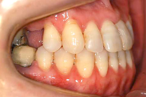
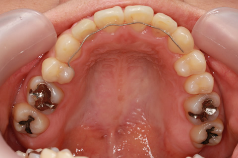
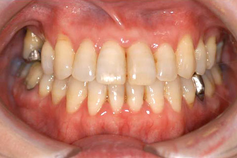
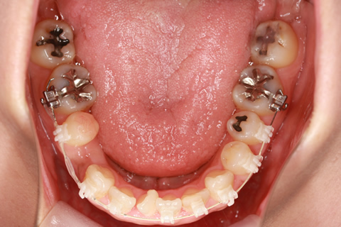
症例3
治療前
治療中
治療後
- 年齢・性別
- 28歳女性
- 治療期間
- 2年0ヶ月
- 抜歯
- 右下4番抜歯。右上5番欠損。
- 治療費
- 80万(税込)
- 備考
- マルチブラケットを用いた矯正治療
- 治療内容
- リンガルアーチにて被蓋改善
- 施術の副作用(リスク)
- 右上3番の欠損より生じた反対咬合。小臼歯抜歯における非外科にて治療。上顎前歯の唇側傾斜における歯根吸収のリスクを説明した。