矯正の症例:開窓・牽引

ふかつ歯科・矯正歯科HOME矯正の症例:開窓・牽引

開窓・牽引の症状

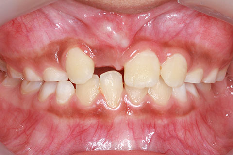
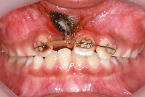
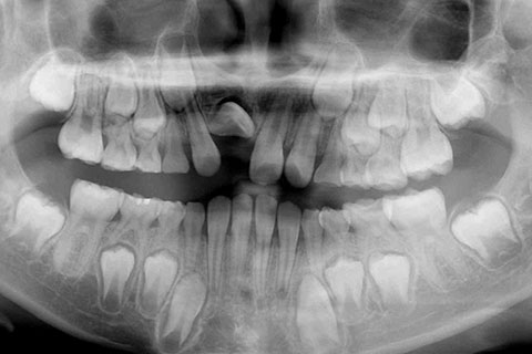
子供の乳歯が抜けて、かなりの時間が経つのに永久歯が生えてこないと心配して来院される親御様は多くいらっしゃいます。この場合、レントゲンにて確認すると大体の場合、もうしばらく待っていれば生えてくるであろうと予測がつきます。しかし、稀に歯の位置異常により、埋まったままの状態で生えてこないことがあります。この場合、待っていても生えてきませんので、矯正力により歯を引っ張り出す必要があります。これを矯正学では開窓・牽引術と呼び、歯肉を切開して、歯の表面を露出させ、そこに矯正器具を付けて、良好な位置まで引っ張り出すという治療法です。

開窓・牽引の症例

症例1

治療前

治療中

3ヶ月後

3ヶ月後

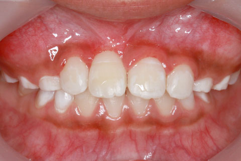
治療後

年齢・性別
8歳女性
治療期間
1年0ヶ月
抜歯
なし
治療費
35万円
備考
マルチブラケットを用いた矯正治療
治療内容
歯肉切除により歯冠を露出させて引っ張り出す治療法
施術の副作用(リスク)
右上1番を露出させるため、歯肉切開が必要になるため、外科処置における疼痛や腫脹のリスクを説明した。また、右上1番を牽引しても理想的な位置にもっていけない場合もあると説明。