インプラントとは
インプラント(人工歯根)とは、歯が抜けてしまったところの骨にチタンからなるインプラント体を埋め込んで、その上に人工の歯を装着する治療法です。
見た目も自然で根本から固定されているので、入れ歯のように口の中で動いてしまったり、食べ物を噛み砕くことができないことはありません。また話がしにくいと言うこともなく、まるで天然の歯があるのと同じように生活できるようになります。
1ピースインプラント
1ピースインプラントで治療期間を短縮することができます。

通常インプラント(人工歯根)とは、フィクスチャーとアバットメントが別々に存在し、それらを繋げてから、その上に人工の歯を装着する治療法です。そのため、オペが2回必要となり、構造体も色々と煩雑です。
しかし当院のインプラントは、フィクスチャーとアバットメントが最初から連結された1ピース型インプラントを使用しているため、1回のオペで完結し、頑丈で壊れにくいシンプルな構造となっています。
また、通常のチタンインプラントではなく、HA(ハイドロキシアパタイト)コーティングを施したチタンインプラントのため、骨との結合が早く、治療期間の短縮につながります。
しかもインプラント埋入後の初期固定が得られなくとも、骨との固定力が強いため、インプラントの脱落などのリスクが少なく、骨結合の成功率は非常に高いといえます。
詳しくはお電話にてお気軽にお問い合わせください。
料金
| 施術名 |
価格 |
| 埋入 |
1本:220,000円 |
| GBR(骨造成) |
1本:33,000円 |
| ジルコニアセラミック |
1本:110,000円 |
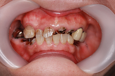
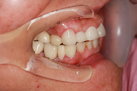
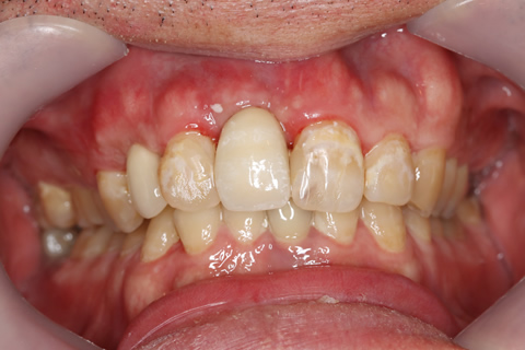
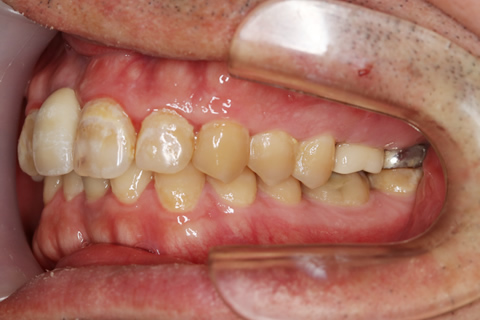
症例1
治療前
インプラント埋入時
治療後
- 年齢・性別
- 55歳女性
- 治療期間
- 2ヶ月
- 抜歯
- なし
- 治療費
- 61.6万円
- 備考
- 右下6.7欠損
- 治療内容
- 右下6.7欠損部にインプラント埋入
- 施術の副作用(リスク)
- オペによる知覚障害。インプラントによる歯肉炎。インプラント脱落。
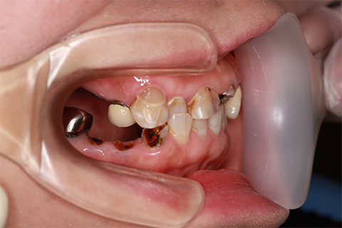
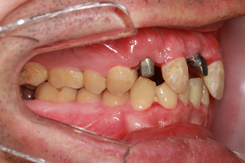
症例2
治療前
インプラント埋入時
治療後
- 年齢・性別
- 57歳男性
- 治療期間
- 3ヶ月
- 抜歯
- なし
- 治療費
- 154万円
- 備考
- 左上5.6.7 及び左下6.7欠損
- 治療内容
- 左上5.6.7と左下6.7欠損部にインプラント埋入
- 施術の副作用(リスク)
- オペによる知覚障害。インプラントによる歯肉炎。インプラント脱落。
症例3
治療前
インプラント埋入時
治療後
- 年齢・性別
- 60歳男性
- 治療期間
- 2ヶ月
- 抜歯
- なし
- 治療費
- 61.6万円
- 備考
- 右下6.7欠損
- 治療内容
- 右下6.7欠損部にインプラント埋入
- 施術の副作用(リスク)
- オペによる知覚障害。インプラントによる歯肉炎。インプラント脱落。
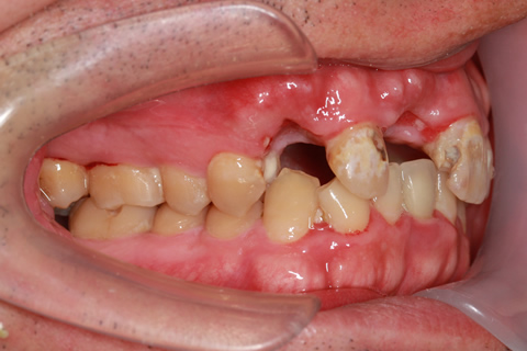
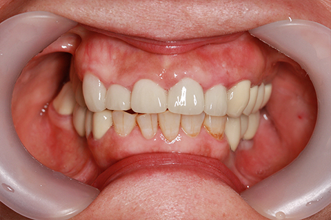
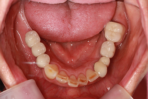
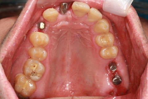
症例4
治療前
治療後
- 年齢・性別
- 60歳
- 治療期間
- 6ヶ月
- 抜歯
- 残根抜歯のみ
- 治療費
- 184.8万円
- 備考
- 右上5.6 右下5 左下4.5.6欠損
- 治療内容
- 6本のインプラントを右左側に2回に分けて埋入
- 施術の副作用(リスク)
- オペによる知覚障害。インプラントによる歯肉炎。インプラント脱落。
症例5
治療前
インプラント埋入時
治療後
- 年齢・性別
- 35歳男性
- 治療期間
- 3ヶ月
- 抜歯
- 右上1.3左上6.7の残根抜歯
- 治療費
- 123.2万円
- 備考
- 右上1.3左上6.7の欠損部
- 治療内容
- 4本のインプラントを一回のオペで埋入。
- 施術の副作用(リスク)
- オペによる知覚障害。インプラントによる歯肉炎。インプラント脱落。
診療メニュー