ふかつ歯科・矯正歯科HOME診療メニュー:一般治療の症例集
一般治療の症例集
セラミック治療
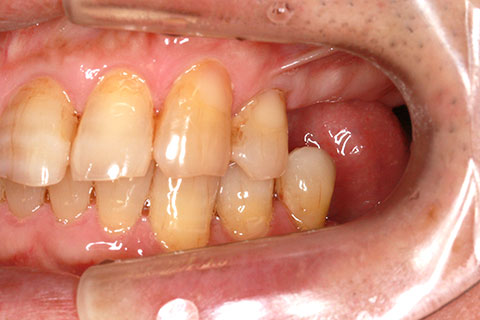
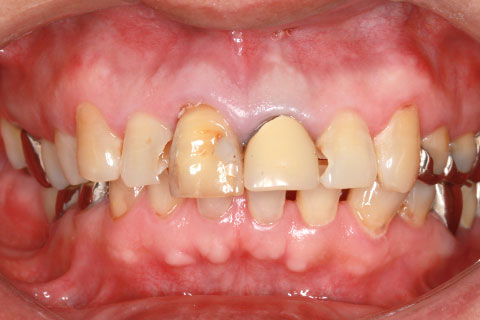
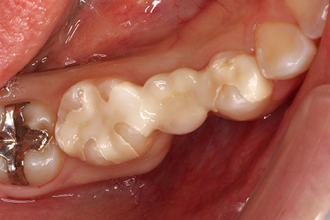
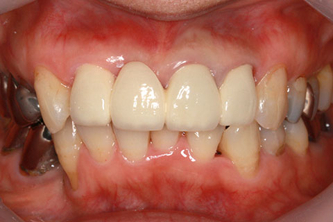
ジルコニアブリッジの症例1
- 年齢・性別
- 30歳男性
- 治療期間
- 1ヶ月
- 抜歯
- 右下5番欠損
- 治療費
- 16.5万円(税込み)
- 備考
- 歯質の削除量を最小限に抑えるブリッジ治療
- 治療内容
- 欠損部位の隣接歯を削合後、セメント合着
- 施術の副作用(リスク)
- 知覚過敏、歯髄炎、荷重負担
ジルコニアブリッジの症例2
- 年齢・性別
- 40歳男性
- 治療期間
- 1ヶ月
- 抜歯
- 右上5番欠損
- 治療費
- 16.5万円
- 備考
- 歯質の削除量を最小限に抑えるブリッジ治療
- 治療内容
- 欠損部位の隣接歯を削合後、セメント合着
- 施術の副作用(リスク)
- 知覚過敏、歯髄炎、荷重負担
ジルコニアブリッジの症例3
- 年齢・性別
- 25歳女性
- 治療期間
- 1ヶ月
- 抜歯
- 右下5番欠損
- 治療費
-
16.5万円(税込み)
- 備考
- 歯質の削除量を最小限に抑えるブリッジ治療
- 治療内容
- 欠損部位の隣接歯を削合後、セメント合着
- 施術の副作用(リスク)
- 知覚過敏、歯髄炎、荷重負担
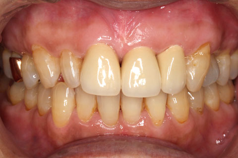
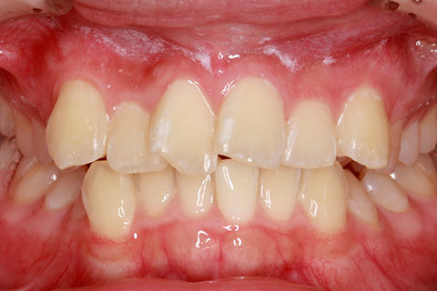
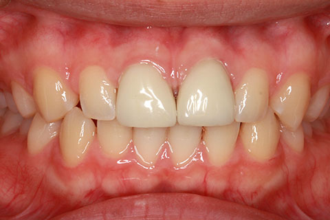
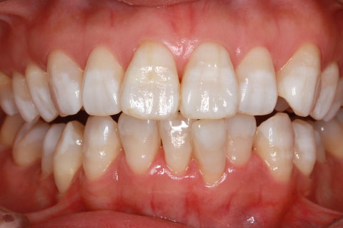
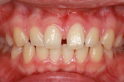
オールセラミックの症例1
上顎前歯のデコボコと色調を改善。
- 年齢・性別
- 40歳女性
- 治療期間
- 1ヶ月
- 抜歯
- なし
- 治療費
- 35.2万円
- 備考
- 前歯4本の変色歯及び歯列不正によるセラミック治療
- 治療内容
- 歯質を削除し、セラミック冠をセメント合着
- 施術の副作用(リスク)
- 知覚過敏、歯髄炎、荷重負担
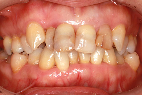
オールセラミックの症例2
- 年齢・性別
- 45歳男性
- 治療期間
- 2ヶ月
- 抜歯
- なし
- 治療費
- 70.4万円
- 備考
- 前歯8本の歯列不正によるセラミック治療
- 治療内容
- 歯質を削除し、セラミック冠をセメント合着
- 施術の副作用(リスク)
- 知覚過敏、歯髄炎、荷重負担
オールセラミックの症例3
古くなった被せをジルコニアセラミックスで治療。
- 年齢・性別
- 60歳女性
- 治療期間
- 1ヶ月
- 抜歯
- なし
- 治療費
- 35.2万円
- 備考
- 古くなった被せを新たなセラミックス冠にする。
- 治療内容
- 歯質を削除し、セラミック冠をセメント合着
- 施術の副作用(リスク)
- 知覚過敏、歯髄炎、荷重負担
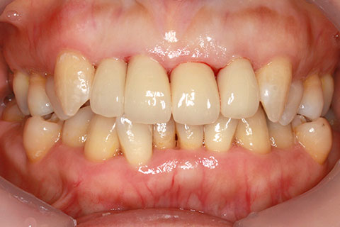
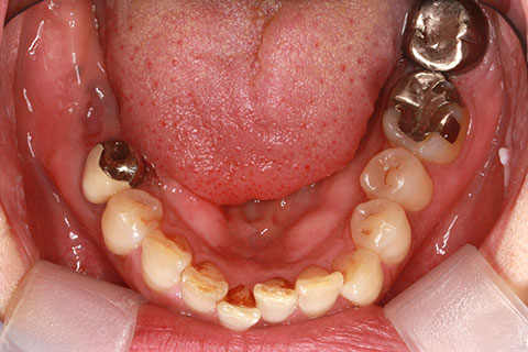
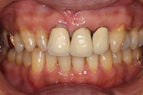
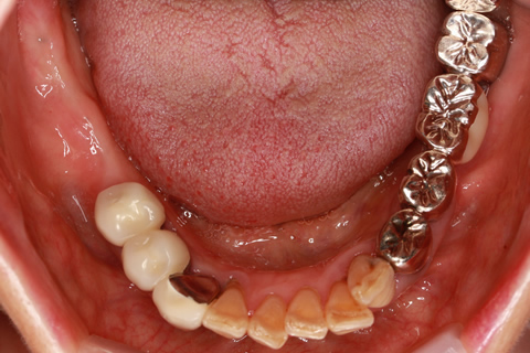
オールセラミックの症例4
古くなった被せをジルコニアセラミックスで治療。
- 年齢・性別
- 65歳女性
- 治療期間
- 1ヶ月
- 抜歯
- なし
- 治療費
- 35.2万円
- 備考
- 古くなった被せを新たなセラミックス冠にする。
- 治療内容
- 歯質を削除し、セラミック冠をセメント合着
- 施術の副作用(リスク)
- 知覚過敏、歯髄炎、荷重負担
オールセラミックの症例5
古くなった被せをジルコニアセラミックスで治療。
- 年齢・性別
- 55歳女性
- 治療期間
- 1ヶ月
- 抜歯
- 26.4万円
- 治療費
- なし
- 備考
- 古くなった被せを新たなセラミックス冠にする。
- 治療内容
- 歯質を削除し、セラミック冠をセメント合着
- 施術の副作用(リスク)
- 知覚過敏、歯髄炎、荷重負担
オールセラミックの症例6
40年前の金歯をジルコニアセラミックスで治療。
- 年齢・性別
- 65歳男性
- 治療期間
- 1ヶ月
- 抜歯
- なし
- 治療費
- 8.8万円
- 備考
- 金歯をセラミックス冠に変更。
- 治療内容
- 歯質を削除し、セラミック冠をセメント合着
- 施術の副作用(リスク)
- 知覚過敏、歯髄炎、荷重負担
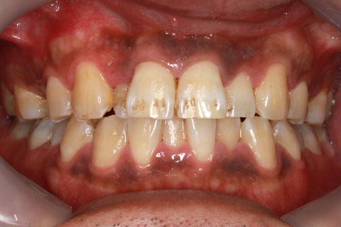
オールセラミックの症例7
前歯2本のねじれをジルコニアセラミックスで治療。
- 年齢・性別
- 17歳女性
- 治療期間
- 1ヶ月
- 抜歯
- なし
- 治療費
- 35.2万円
- 備考
- 前歯4本の歯列不正によるセラミック治療
- 治療内容
- 歯質を削除し、セラミック冠をセメント合着
- 施術の副作用(リスク)
- 知覚過敏、歯髄炎、荷重負担
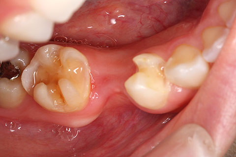
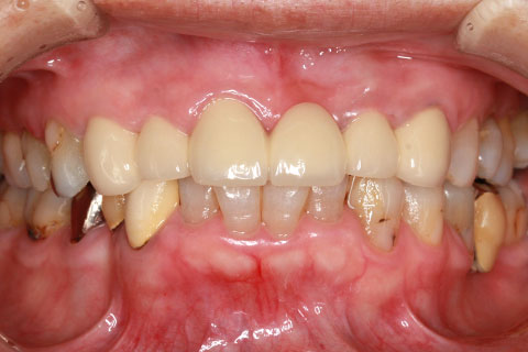
セラミックインレーの症例1
- 年齢・性別
- 30歳女性
- 治療期間
- 1ヶ月
- 抜歯
- なし
- 治療費
- 11万円
- 備考
- 奥歯2本の銀歯をセラミックにやりかえ。
- 治療内容
- 歯質を削除し、セラミックインレーをセメント合着
- 施術の副作用(リスク)
- 知覚過敏
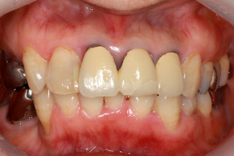
メタルセラミック冠の症例1
- 年齢・性別
- 50歳男性
- 治療期間
- 1ヶ月
- 抜歯
- なし
- 治療費
- 26.4万円
- 備考
- 前歯4本の古い被せをメタルセラミックにやりかえ。
- 治療内容
- 歯質を削除し、セラミック冠をセメント合着
- 施術の副作用(リスク)
- 知覚過敏
硬質レジン前装冠の症例1
- 年齢・性別
- 20歳女性
- 治療期間
- 1ヶ月
- 抜歯
- なし
- 治療費
- 保険治療
- 備考
- 前歯の隙間を被せにて治療
- 治療内容
- 歯質を削除し、レジン前装冠にてセメント合着
- 施術の副作用(リスク)
- 知覚過敏
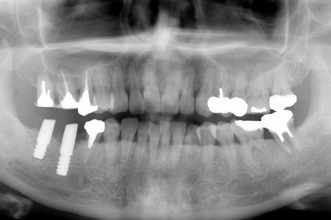
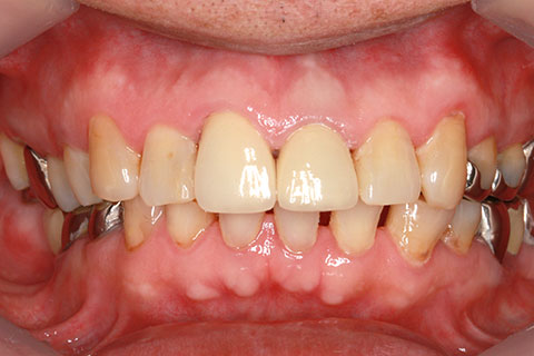
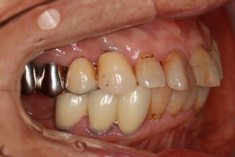
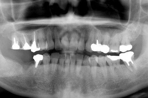
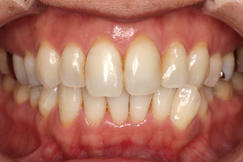
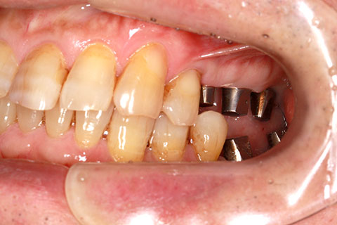
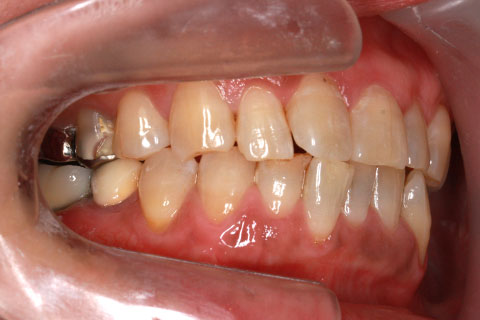
インプラント
症例1
治療前
インプラント埋入時
治療後
- 年齢・性別
- 55歳女性
- 治療期間
- 2ヶ月
- 抜歯
- なし
- 治療費
- 61.6万円
- 備考
- 右下6.7欠損
- 治療内容
- 右下6.7欠損部にインプラント埋入
- 施術の副作用(リスク)
- オペによる知覚障害。インプラントによる歯肉炎。インプラント脱落。
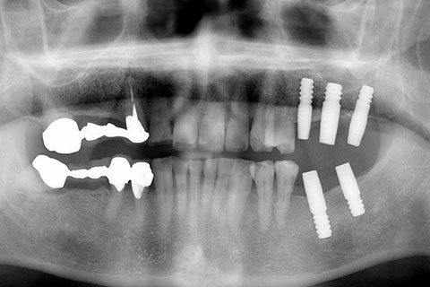
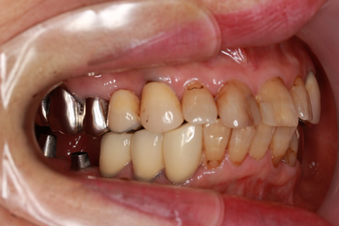
症例2
治療前
インプラント埋入時
治療後
- 年齢・性別
- 57歳男性
- 治療期間
- 3ヶ月
- 抜歯
- なし
- 治療費
- 154万円
- 備考
- 左上5.6.7 及び左下6.7欠損
- 治療内容
- 左上5.6.7と左下6.7欠損部にインプラント埋入
- 施術の副作用(リスク)
- オペによる知覚障害。インプラントによる歯肉炎。インプラント脱落。
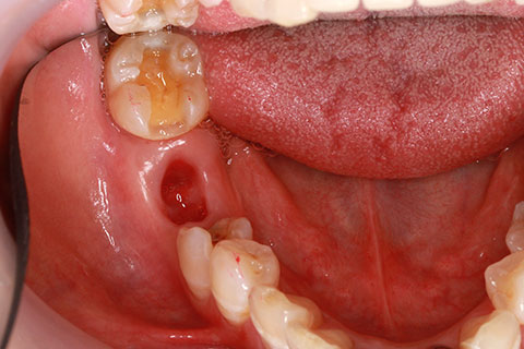
症例3
治療前
インプラント埋入時
治療後
- 年齢・性別
- 60歳男性
- 治療期間
- 2ヶ月
- 抜歯
- なし
- 治療費
- 61.6万円
- 備考
- 右下6.7欠損
- 治療内容
- 右下6.7欠損部にインプラント埋入
- 施術の副作用(リスク)
- オペによる知覚障害。インプラントによる歯肉炎。インプラント脱落。
ホワイトニング
症例1
- 年齢・性別
- 23歳
- 治療期間
- 2週間
- 抜歯
- なし
- 治療費
- 4.4万円
- 備考
- ホームホワイトニング
- 治療内容
- 10~20%の漂白剤を含んだマウスピースを一日数時間装着。
- 施術の副作用(リスク)
- 一時的な知覚過敏。
症例2
- 年齢・性別
- 30歳
- 治療期間
- 2週間
- 抜歯
- なし
- 治療費
- 4.4万円
- 備考
- ホームホワイトニング
- 治療内容
- 10~20%の漂白剤を含んだマウスピースを一日数時間装着。
- 施術の副作用(リスク)
- 一時的な知覚過敏。
症例3
- 年齢・性別
- 35歳
- 治療期間
- 2週間
- 抜歯
- なし
- 治療費
- 4.4万円
- 備考
- ホームホワイトニング
- 治療内容
- 10~20%の漂白剤を含んだマウスピースを一日数時間装着。
- 施術の副作用(リスク)
- 一時的な知覚過敏。
診療メニュー