矯正の症例:乱ぐい歯

ふかつ歯科・矯正歯科HOME矯正の症例:乱ぐい歯

乱ぐい歯の症状

歯の大きさと、歯が並ぶアゴの大きさとのアンバランスにより、歯が並びきらず何箇所かで重なっている状態を乱ぐい歯といいます。アンバランスの程度が大き過ぎると永久歯を抜いて矯正治療で歯並びを改善することがあります。乳歯の歯並びでは、その後の大きな永久歯を生やすために"空隙"があるのが正常ですが、永久歯の歯並びでは隣同士の歯はきちんと接している状態が正常です。

乱ぐい歯の原因

歯そのものが大きかったり顎骨の発育不全の場合に起こります。犬歯があとから生えてくるために生じる八重歯などがあります。叢生とは逆のアンバランスの状態、つまり歯が小さいなどの場合、歯並びに隙間のある"空隙"となります。

乱ぐい歯の症例

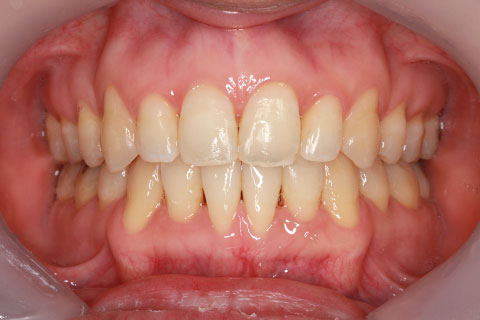
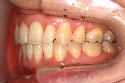
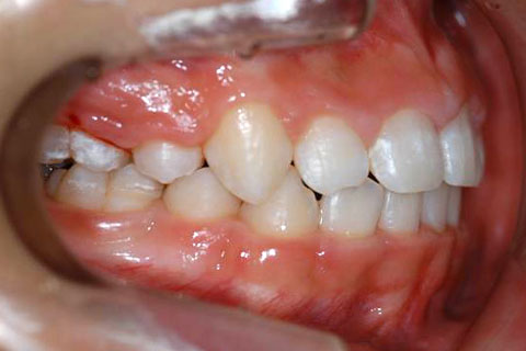
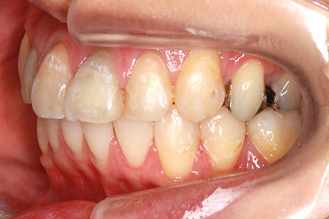
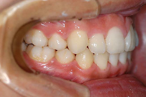
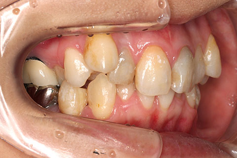
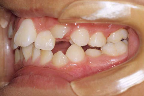
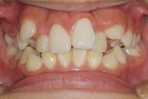
症例1

治療前

治療後

年齢・性別
32歳女性
治療期間
2年0ヶ月
抜歯
上下4番抜歯
治療費
80万(税込)
備考
マルチブラケットを用いた歯の矯正治療
治療内容
上下の前歯の凸凹を改善するための矯正治療
施術の副作用(リスク)
小臼歯抜歯を伴う矯正治療を行ったため、治療後にブラックトライアングルが起こりました。

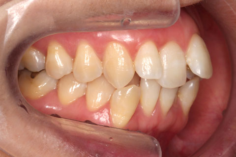
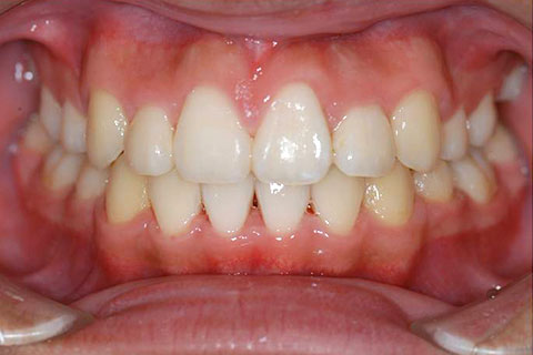
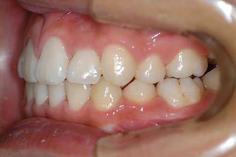
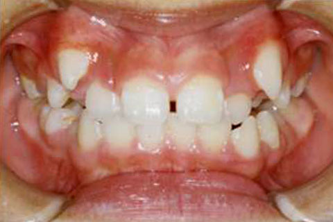
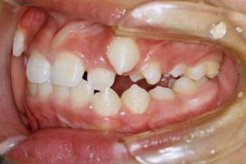
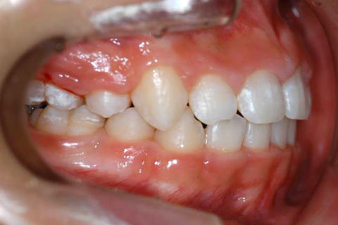
症例2

治療前

治療後

年齢・性別
13歳男性
治療期間
1年10ヶ月
抜歯
上下4番抜歯
治療費
80万(税込)
備考
マルチブラケットを用いた歯の矯正治療
治療内容
上下の前歯の凸凹を改善するための矯正治療
施術の副作用(リスク)
永久歯に生え変わって間もない年齢のため、虫歯と歯肉炎のリスクを危惧した。そのため、毎回ブラッシング指導を丁寧に行った。

症例3

治療前

治療後

年齢・性別
12歳男性
治療期間
2年0ヶ月
抜歯
上下4番抜歯
治療費
80万(税込)
備考
マルチブラケットを用いた歯の矯正治療
治療内容
上下の前歯の凸凹を改善するための矯正治療
施術の副作用(リスク)
永久歯が生え変わって間もない年齢のため、虫歯と歯肉炎のリスクがあるため、毎食後のブラッシングの重要性を説明した。

症例4

治療前

治療後

年齢・性別
28歳
治療期間
2年2ヶ月
抜歯
上下4番抜歯
治療費
80万(税込)
備考
マルチブラケットを用いた歯の矯正治療
治療内容
上下の前歯の凸凹を改善するための矯正治療
施術の副作用(リスク)
小臼歯抜歯を伴う矯正治療では、歯の移動量が大きいため、歯根吸収や歯髄壊死といったリスクを説明した。