矯正の症例:開咬症

ふかつ歯科・矯正歯科HOME矯正の症例:開咬症

開咬症の症状

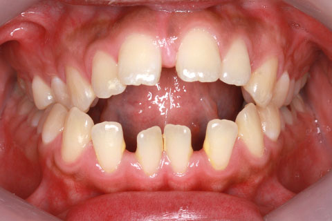
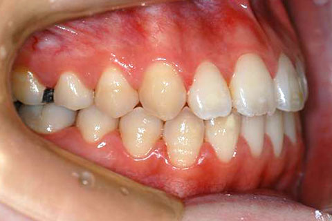
奥歯は咬んでいるが前歯は咬んでいない状態。奥歯でしか咬み合わず、奥歯への負担が非常に大きくなります。また、幼少期の舌の癖や指しゃぶりが主な原因で、そのまま大人になると治療が難しくなる可能性があります。

開咬症の原因

遺伝的傾向、指しゃぶり、唇を噛む癖、爪噛み、口呼吸、舌癖などが挙げられます。

開咬症の症例

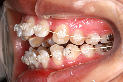
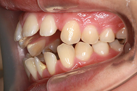
症例1

治療前

治療中

治療後

年齢・性別
23歳女性
治療期間
1年4ヶ月
抜歯
なし
治療費
80万(税込)
備考
マルチブラケットを用いた矯正治療
治療内容
前歯の開口を顎間ゴムにて改善
施術の副作用(リスク)
舌の癖や鼻疾患がある時は、後戻りを起こすことがあります。

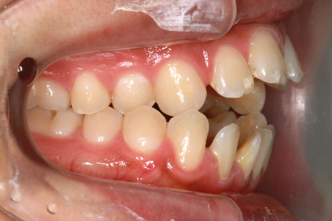
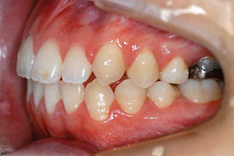
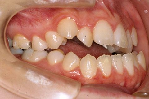
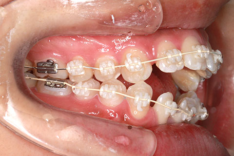
症例2

治療前

治療後

年齢・性別
18歳女性
治療期間
2年3ヶ月
抜歯
なし
治療費
外科的矯正治療のため、保険適用
備考
下顎骨骨切り術を併用した外科的矯正治療
治療内容
マルチブラケット法+下顎セットバック
施術の副作用(リスク)
骨格性開咬のため、外科的矯正治療を施した。全身麻酔下のもと行われる外科治療のリスクを説明した。