084-982-5111
矯正・インプラント無料相談
【診療時間】9:00-12:30/14:30-19:00
土曜午後13:30-17:00
【休診日】隔週木曜・日曜・祝日
【駐車場】11台
【住所】〒721-0975 広島県福山市西深津町5-23-41
ふかつ歯科・矯正歯科HOME矯正治療について:矯正装置
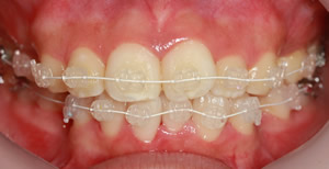
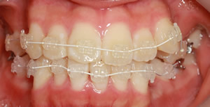
単結晶サファイアを使用したセラミック製ブラケットで、宝石のような輝きと透明感を持っており、ホワイトワイヤーとの組み合わせで表側からの矯正器具としては最も目立ちにくいものとなっております。
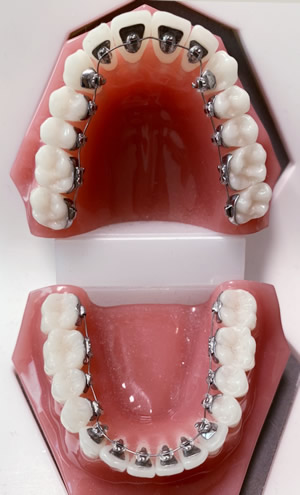
装置装着例
上の歯は裏側に、下の歯は表に装置を付け、矯正する方法です。(舌側矯正ではオススメです。) ※2019年よりフルデジタル舌側矯正(WIN)を採用。
上下の歯の裏側に装置を付け、矯正する方法です。 ※2019年よりフルデジタル舌側矯正(WIN)を採用。
カリエールモーションを使った矯正治療とは、クラスⅡ(出っ歯)、クラスIII(受け口)の臼歯関係を最初の3~6ヶ月でクラスIに是正したのちに、矯正治療を進めていくという画期的な治療法です。 臼歯関係の是正は、従来の方法であればうまく治らない場合が極めて多く、ブラケットによる矯正治療を開始する前段階でカリエールモーションにより是正することで以下の点が期待できます。 ①非抜歯矯正 ②審美性と機能性に優れた治療結果 ③治療期間の短縮 ④矯正治療のストレス軽減
直径6ミリ程のスクリュータイプのミニインプラントを歯ぐきに埋めることで、良好な治療結果が得られ、治療期間も短縮できます。また大がかりな矯正装置を使う必要がなくなります。当院では、通常、上アゴの奥に2本埋め込みます。歯ぐきに埋め込むといっても、局所麻酔下にて行いますので、痛みはなく10分程度で終わる簡単な埋め込み術です。
マルチブラケット装置にて矯正治療が終了したあと、後戻りを防ぐために使用する装置です。