矯正の症例:すきっ歯

ふかつ歯科・矯正歯科HOME矯正の症例:すきっ歯

すきっ歯の症状

すきっ歯とは、あごの大きさに比べ歯が小さかったり、歯の数が少なかったために、隙間だらけになっている歯並びのことです。歯の隙間に食べ物が挟まったり、前歯の隙間が目立つことに悩みをもっている方も多いです。

すきっ歯の症例

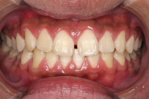
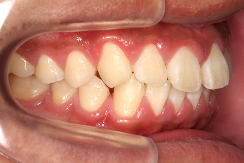
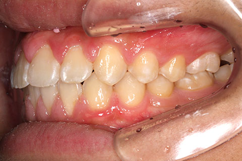
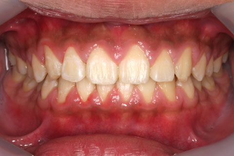
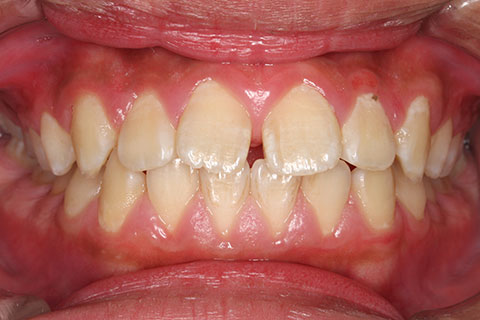
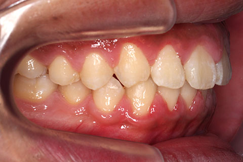
症例1

治療前

治療後

年齢・性別
15歳男性
治療期間
1年
抜歯
なし
治療費
80万(税込)
備考
マルチブラケットを用いた矯正治療
治療内容
前歯のスペースをパワーチェーンにてクローズド
施術の副作用(リスク)
永久歯に生え変わって間もない年齢のため、虫歯と歯肉炎のリスクを説明した。また、すきっ歯は後戻りが起こりやすい歯列不正であることも伝えた。

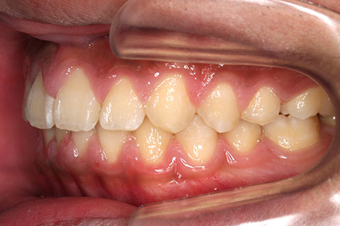
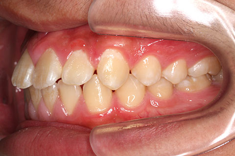
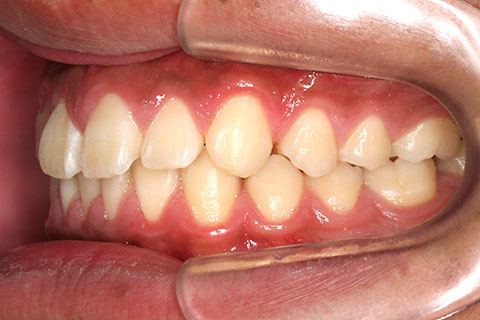
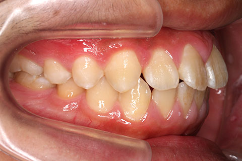
症例2

治療前

治療後

年齢・性別
17歳男性
治療期間
1年
抜歯
なし
治療費
80万(税込)
備考
マルチブラケットを用いた矯正治療
治療内容
前歯のスペースをパワーチェーンにてクローズド
施術の副作用(リスク)
虫歯と歯肉炎のリスクを説明し衛生士によるブラッシング指導を徹底した。
また、すきっ歯は後戻りが起こりやすい歯列不正であることも伝えた。