記事一覧
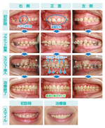
Vol.156 下顎小臼歯抜歯にて治療したクラスIII症例
2023/03/16
歯の噛み合わせは、アングル分類によって以下の3つに大別されます。 ①クラスI(正常咬合) ②クラスⅡ(上顎前突・出っ歯) ③クラスⅢ(下顎前突・受け口)
今回の患者様は、受け口を治したいと来院されまし...
Vol.155 ガミースマイルは矯正で治せるのか!?
2023/02/20
矯正相談に来院される患者様の悩みの一つにガミースマイルというものがあります。ガミースマイルとは、笑った際に過剰に見えてしまう歯茎のことです。歯列不正が原因で生じているガミースマイルであれば矯正治療のみ...
Vol.154 前歯部ラビッティングを引き起こした際のリカバリー法について
2023/01/19
歯列矯正とは、一本一本適正な位置に歯を動かして歯並びを再構築していく治療です。その動きが1次元や2次元であれば簡単なのですが、生体のため3次元的に歯を動かさなければなりません。理想的な歯並びにするには...
【特別版】「カリエールモーション」を用いた 歯を抜かない矯正治療とは?
2023/01/11
当院で頻繁に使用しているカリエールモーションですが、カリエールの使用目的は、上顎臼歯部を遠心に移動させることで、歯を抜かない非抜歯矯正治療の適応を広げ臼歯関係をクラスⅡからクラスⅠに是正し、緊密な咬合...
Vol.153 カリエールを用いた非抜歯矯正治療No.7
2022/12/20
当院で頻繁に使用しているカリエールですが、カリエールの使用目的は、上顎臼歯部を遠心に移動することで、非抜歯矯正の適応を広げ臼歯関係をクラスⅡからクラスⅠに是正し、緊密な咬合関係を構築する事です。さらに...
Vol.152 アンカースクリューとレバーアームを用いた牽引法について
2022/11/16
小臼歯抜歯を伴う矯正治療を成功に導くポイントの一つが、前歯部の牽引法です。 牽引方法を間違えると悲惨な歯並びになってしまいます。そこで現在、当院で行っている前歯の牽引法をご紹介致します。 ...
Vol.151 カリエールを用いた非抜歯矯正治療No.6
2022/10/13
カリエールを用いた矯正治療とは、クラスⅡ(出っ歯)と呼ばれる臼歯関係を最初の3~6ヶ月でクラスI(正常な噛み合わせ)に是正し、その後、ブラケットにて歯を並べて終了するという画期的な治療法です。
カリエ...
Vol.150 先天性欠如歯を伴う矯正治療デジタル舌側矯正
2022/09/16
当院では2019年より採用しているデジタル舌側矯正。これは技工操作を全てデジタル化して、歯の裏側に装置を付けて歯並びや噛み合わせを整えていく最新の見えない矯正治療です。 ドイツで開発されたカスタムメ...
Vol.149 下顎小臼歯抜歯を伴うクラスⅢ症例
2022/08/20
歯の噛み合わせは、アングル分類によって以下の3つに大別されます。①クラスI(正常咬合)②クラスⅡ(上顎前突・出っ歯)③クラスⅢ(下顎前突・受け口)
今回の患者様は、受け口を治したいと来院されました。ク...
Vol.148 カリエールを用いた 非抜歯矯正治療No.5
2022/07/19
カリエールを用いた矯正治療とは、クラスⅡ(出っ歯)と呼ばれる臼歯関係を最初の3~6ヶ月でクラスI(正常な噛み合わせ)に是正し、その後、ブラケットにて歯を並べて終了するという画期的な治療法です。 カリ...
![[指定自立支援医療機関/育成医療・更正医療]ふかつ歯科・矯正歯科](/images/logo.png)
![[指定自立支援医療機関/育成医療・更正医療]ふかつ歯科・矯正歯科](/images/logo-sp.png)
