No.30「当院が使用する審美ブラケットについて」
2012/09/22Question
私の友人が、ふかつ歯科で矯正をしているのですが、本当に目立たない白い矯正器具を付けており、一昔前の金属がギラギラしていた頃の矯正のイメージとは全く違ったので驚きました。私も矯正をしたいと考えていますが、目立ちにくい矯正器具について教えて下さい。(30歳 女性)
Answer
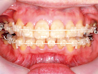
当院の矯正器具はすべて白色透明の審美性に優れたものを使用しております。通称「審美ブラケット」と呼ばれ、当院で使用している審美ブラケットをご紹介いたします。

Ⓐプラスチックブラケット
こちらは審美ブラケットの代表的存在です。コストパフォーマンスに優れており一般的によく使われます。しかし、強度的にやや弱いため、ブラケットの一部分を金属で強化する必要があり、審美性にやや劣ります。
審美性/★★ 値段/★★★ 装着後の快適度/★★

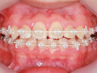
Ⓑセラミックブラケット
セラミックは、硬強度のため、金属で強化する必要がありません。オールセラミックは透明感があり、審美性に最も優れています。
しかし、セラミックブラケットは性質上、粒のサイズがやや大きいので、装着後の違和感は多少あるかもしれません。
審美性/★★★ 値段/★★ 装着後の快適度/★★

Ⓒジルコニア・セラミックブラケット
ジルコニアという素材で作られた最新セラミックブラケット。ジルコニアは金属と同等の強度を有する唯一のセラミックスで、一般的なセラミックブラケットよりも強く、非常にコンパクトに出来ております。
上記Bのブラケットと比較すると画像では分かりにくいですが、かなり小さくなっております。そのため、装着後の違和感は最も少ないです。当院オススメの最新セラミックブラケットです。
審美性/★★★ 値段/★★ 装着後の快適度/★★★

Ⓓ舌側矯正装置(裏側矯正)
こちらは目立ちにくい器具ではなく、歯の裏側に器具をつける見えない矯正装置です。舌側矯正は、舌が器具に当たるため表側矯正と比べると違和感はありますが、最近では非常にコンパクトサイズとなり、違和感はかなり軽減しています。
何よりも他人に気づかれることなく矯正が出来るメリットを一番に考える方にはオススメの矯正法です。当院でもたくさんの方が舌側矯正をやっておられます。 審美性/最良 値段/★ 装着後の快適度/★
![[指定自立支援医療機関/育成医療・更正医療]ふかつ歯科・矯正歯科](/images/logo.png)
![[指定自立支援医療機関/育成医療・更正医療]ふかつ歯科・矯正歯科](/images/logo-sp.png)
