No.38「埋まった歯を引っ張り出す矯正治療 「開窓・牽引術」について」
2013/05/09Question
9歳になる子供の前歯1本が生えてこないため、レントゲンで確認してもらったところ、その歯は真横に向いており、生えてこない可能性が高いと言われました。しかし、矯正治療でその歯を引っ張り出せるかもしれないと言われました。もし矯正をする場合、どのような治療方法になるのか教えて下さい。
Answer
子供の乳歯が抜けて、かなりの時間が経つのに永久歯が生えてこないと心配して来院される親御様は多くいらっしゃいます。この場合、レントゲンにて確認すると大体の場合、もうしばらく待っていれば生えてくるであろうと予測がつきます。
しかし、稀に歯の位置異常により、埋まったままの状態で生えてこないことがあります。この場合、待っていても生えてきませんので、矯正力により歯を引っ張り出す必要があります。これを矯正学では開窓・牽引術と呼び、歯肉を切開して、歯の表面を露出させ、そこに矯正器具を付けて、良好な位置まで引っ張り出すという治療法です。
当院で治療中の開窓・牽引術の実例をご紹介いたします。
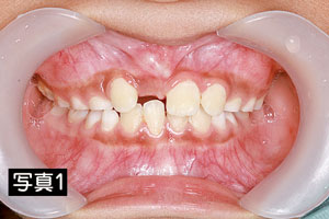
9歳の男の子、右前歯が生えてこないと来院されました。【写真1】
そのレントゲン写真にて、右前歯が横を向いているのが分かります。【写真2】
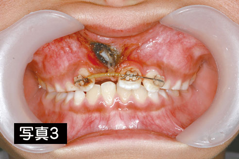
数か月様子をみましたが、この歯が自然に出てくる気配が全くなかったため、開窓・牽引術を施行しました。歯はかなり上方にあることが分かります。【写真3】



1か月後 歯の頭が見えてきました。
3か月後 歯の形がはっきり分かるようになり、位置も下方に降りてきました。
4か月後 他の前歯と並び、見た目もきれいになってきました。ここまでくれば安心です。歯肉の中に埋まった歯でも引っ張り出して並べる事が出来る「開窓・牽引術」は歯列矯正の真髄ともいえる素晴らしい治療法です。矯正治療に不可能はありません!



![[指定自立支援医療機関/育成医療・更正医療]ふかつ歯科・矯正歯科](/images/logo.png)
![[指定自立支援医療機関/育成医療・更正医療]ふかつ歯科・矯正歯科](/images/logo-sp.png)
