No.50 最も治療困難といわれる矯正治療 ~開口症の治療について~
2014/05/23開口症(オープンバイト)とは上下の歯を噛み合せた時に奥歯のみ噛んでおり、前歯が開いた状態になっている事をいいます。
開口症の人は奥歯のみで食べ物を咀嚼するため、前歯は使っていません。前歯で食べ物を噛み切ることができないので、奥歯に負担がかかり虫歯や歯周病、顎関節症といったお口の病気に罹患しやすくなってしまいます。
さらに過度に負担がかかった奥歯は歯の寿命も短くなり、早期に歯が割れたり、抜け落ちることにも繋がっていきます。
開口症の原因として様々な要素がありますが、最も多いのは舌突出癖(ぜつとっしゅつへき)という癖(くせ)を持っている人です。舌突出癖とは人と話をする時に舌を前に突出させながら話すことです。
そのため、舌が上下前歯の間に入り込んで、前歯同士が離れていき開口症になっていきます。
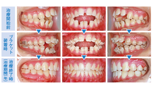
現在は開口症治療に適した装置も開発されて、しっかりと正しい治療をすれば写真のようにきれいに治ります。しかし、専門医の間で開口症の治療が最も難しいといわれる所以は矯正治療後の後戻りにあります。
結局、歯だけでなく舌突出癖も一緒に治さなければ、開口症は再発して元の状態に戻ってしまうのです。そのため、当院では、舌突出癖の悪習癖を改善すべくMFTと呼ばれる筋機能訓練も一緒に行って、後戻りを防止できるよう努めております。

![[指定自立支援医療機関/育成医療・更正医療]ふかつ歯科・矯正歯科](/images/logo.png)
![[指定自立支援医療機関/育成医療・更正医療]ふかつ歯科・矯正歯科](/images/logo-sp.png)
