No.54「器具が見えない矯正治療により上顎前突を治した一例」
2014/09/25今回は「上顎前突」を器具が見えない矯正治療によって治し、良好なかみ合わせと美しい歯並びを手に入れた患者様をご紹介いたします。
上顎前突とは上アゴもしくは上の歯が前方(唇側)に突出している状態です。上顎前突の場合、口元が閉じづらいため普段から口があいた状態となります。
さらに口があいた状態が続くと口の周りの筋肉が緩んでしまい、歯はさらに突出傾向になっていきます。また、口呼吸にもなりやすく口腔内はいつも乾燥状態となるため、虫歯や歯周病に罹患しやすくなります。
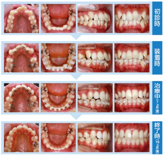
左の写真は、初診時より治療終了時までの経過写真を示します。見えない矯正治療を希望されたために、上の歯には器具を裏側に付け、下の歯には目立ちにくいセラミック製の器具を表側に付けて矯正していきました。
矯正用アンカースクリューを併用したことにより、矯正治療としては18か月という短期間で治りました。
患者様のコメント「矯正器具に抵抗があったため、周りに気づかれずに矯正が出来たのが一番良かった。さらに思っていたより痛みも少なく、短期間で治療を終えることが出来たので大変満足です。」
裏側矯正にかかるトータル費用:約90万円

![[指定自立支援医療機関/育成医療・更正医療]ふかつ歯科・矯正歯科](/images/logo.png)
![[指定自立支援医療機関/育成医療・更正医療]ふかつ歯科・矯正歯科](/images/logo-sp.png)
