No.56 「重度上顎前突(出っ歯)の矯正治療」 ~小臼歯4本抜歯を行った症例~
2014/11/24デコボコ、出っ歯といった歯並びは、顎(あご)の大きさと歯の大きさの不調和により生じます。
その不調和の度合いが大きい場合、小臼歯という前から4番目の歯を抜歯し、その抜歯スペースを利用して、歯を並べるという治療法が一般的です。そうすることで調和のとれた歯並びとかみ合わせを得ることが出来るのです。健全な歯を抜く事に抵抗があると思いますが、抜く事ですべての問題が解消されて、全く新しい歯並びを獲得できるのです。
「歯を抜かない矯正治療=非抜歯矯正」を謳い文句にしている歯科医院を見かけますが、真の矯正専門医であれば、抜歯矯正と非抜歯矯正の両方のメリット・デメリットを考慮した上で抜くかどうかを決定します。非抜歯矯正しか出来ない歯科医は危険と言えるでしょう。ご注意下さい。
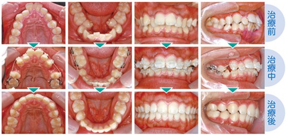
今回は重度な上顎前突と歯列不正により上下左右小臼歯4本抜歯した矯正治療をご紹介します。治療前から治療終了時まで2年数か月の治療期間を要しましたが、比較すると別人の歯のように綺麗に治っているのが分かります。
歯は矯正力を加えることで確実に動くため、いかなる歯並びでも綺麗に治すことが出来ます。矯正治療は、歯を削って被せるセラミック治療や入れ歯、インプラントといった人工物で補うのではなく、自分の歯のみで綺麗に治せる最高級の歯科治療なのです。

![[指定自立支援医療機関/育成医療・更正医療]ふかつ歯科・矯正歯科](/images/logo.png)
![[指定自立支援医療機関/育成医療・更正医療]ふかつ歯科・矯正歯科](/images/logo-sp.png)
