No.58 当院における「見えない矯正治療」の一例
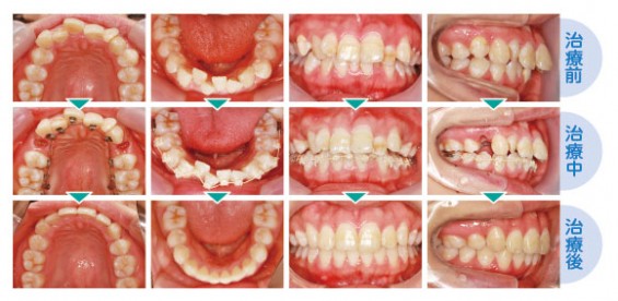
2015/01/17歯並びを綺麗に治したいとのことで来院されました。上の前歯がひどくねじれており、前方(唇側)に突出している状態でした。
アゴに対して歯が大きすぎるため、上の小臼歯を2本抜歯する必要がありました。抜歯することによりスペース不足が解消します。抜歯後、見えない矯正治療を希望されたために、上の歯には器具を歯の裏側に付け、下の歯には目立ちにくいセラミック製の器具を付けて矯正していきました。
また、最新の矯正用アンカースクリューという歯を引っ張る際の強固な固定源を併用したことにより、1年8か月という短期間で綺麗に治りました。
患者様のコメント「とにかく矯正器具に抵抗があったため、見えない矯正器具のおかげでストレスなく矯正治療が出来ました。歯を抜くのも思ったよりあっさり抜けて痛みも少なく腫れもありませんでした。治療期間2年以上は覚悟していましたが、1年8か月で終えることが出来たので大変満足です。」

![[指定自立支援医療機関/育成医療・更正医療]ふかつ歯科・矯正歯科](/images/logo.png)
![[指定自立支援医療機関/育成医療・更正医療]ふかつ歯科・矯正歯科](/images/logo-sp.png)
