No.99「過蓋咬合(かがいこうごう)」が及ぼすトラブルとは
2018/06/29歯並びや噛み合わせは、歯や体に大きな影響を与えます。噛み合わせのトラブルの一つに噛み合わせが深い過蓋咬合があります。
■過蓋咬合(かがいこうごう)とは
過蓋咬合とは、前歯の噛み合わせが深すぎて、下の前歯が見えなくなってしまうくらい、閉じ過ぎた状態になってしまう噛み合わせの事です。自分では気付きにくい過蓋咬合ですが、学校の歯科検診で見つかったり、上の歯茎を下の前歯で噛んでしまうというトラブルで歯科医院を訪れ、診断される事もあります。過蓋咬合は、顎に負担がかかりやすく、後々、顎関節症になってしまったり、上の歯茎が下の前歯によって刺激されるため、歯周病になりやすい、口内炎ができやすい、などの問題が生じます。また、上の前歯が乾燥しやすいため、虫歯ができやすい環境を作ってしまいます。
さらに、歯と歯茎の間に隙間が少なく、被せ物や入れ歯が作りにくく、壊れやすくなるなど、他にもさまざまなトラブルの引き金になる可能性があります。このようなトラブルを引き起こし、見た目にも前歯がビーバーのように見えてしまう過蓋咬合は、そのまま放っておかずに、矯正治療をおすすめします。ちなみに、下の前歯の上部1/3~1/4程度が上の前歯で覆われているというのがベストだと考えられています。
■過蓋咬合の矯正治療
過蓋咬合は難易度の高い矯正治療で、下がってしまった前歯を上に押し戻すのが非常に困難で、非常に強い矯正力を必要とします。そのため、治療期間も長期に渡り、矯正用のアンカースクリューというボルトを併用しないと治らない場合が多いのです。20歳を超えると骨格が完成し、歯が動きにくくなってくるので、過蓋咬合の場合、成長期の骨が柔らかい中学性~高校生の間に矯正治療を開始するのがベストと考えます。


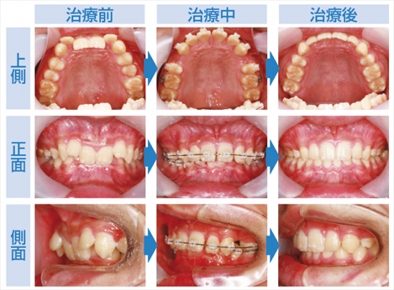
<今回の症例>
治療開始年齢:13歳
治療期間:2年6か月
抜歯の可否:上顎小臼歯2本抜歯
- 年齢・性別
- 13歳 男子
- 治療期間
- 3-ヶ月
- 抜歯
- 上顎左右4番
- 治療費
- 80万円
- 治療内容
- 全顎矯正治療
- 施術の副作用(リスク)
- 矯正力による歯の痛み、器具による不快感や口内炎、虫歯や歯肉炎のリスク、歯根吸収、後戻り
![[指定自立支援医療機関/育成医療・更正医療]ふかつ歯科・矯正歯科](/images/logo.png)
![[指定自立支援医療機関/育成医療・更正医療]ふかつ歯科・矯正歯科](/images/logo-sp.png)
