No.124 カリエールにて 臼歯関係を改善できた一例
2020/07/09 矯正治療を成功へ導く最も重要なポイントは、上下の奥歯(臼歯)を正しい位置に並べることです。当たり前のことのようですが、実は一番厄介で、これをうまく治せる矯正医は何%いるのだろう?と思ってしまいます。
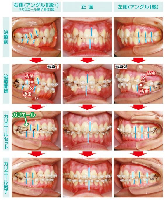
当院の一例をご紹介します。治療前、左側は上下の歯が山切りに噛み込み、非常にキレイな咬合状態を呈しています(アングルⅠ級)。右側は山切りに噛み込んでおらず、不良な咬合状態となっています(アングルⅡ級)。そのため前歯の正中のズレが生じています。
4番抜歯(写真1、2)にて治療を始めましたが、3段目の写真のスペースクローズ終了後も右側の咬合はアングルⅡ級のままで改善されていません。そこで、カリエールという臼歯関係の改善を目的に作られた器具を3か月間装着すると、左側と同様のアングルⅠ級関係を獲得できました。それに伴って上下の正中線も一致しました。
不良な臼歯関係を、いかに改善できるかが矯正治療の醍醐味であり、真のゴールです。常にそれを念頭において日々の診療に臨んでおります。
4番抜歯(写真1、2)にて治療を始めましたが、3段目の写真のスペースクローズ終了後も右側の咬合はアングルⅡ級のままで改善されていません。そこで、カリエールという臼歯関係の改善を目的に作られた器具を3か月間装着すると、左側と同様のアングルⅠ級関係を獲得できました。それに伴って上下の正中線も一致しました。
不良な臼歯関係を、いかに改善できるかが矯正治療の醍醐味であり、真のゴールです。常にそれを念頭において日々の診療に臨んでおります。

- 年齢・性別
- 21歳 女性
- 治療期間
- 24ヶ月
- 抜歯
- 上下左右4番
- 治療費
- 80万円
- 治療内容
- 全顎矯正治療
- 施術の副作用(リスク)
- 矯正力による歯の痛み、器具による不快感や口内炎、虫歯や歯肉炎のリスク、歯根吸収、後戻り
![[指定自立支援医療機関/育成医療・更正医療]ふかつ歯科・矯正歯科](/images/logo.png)
![[指定自立支援医療機関/育成医療・更正医療]ふかつ歯科・矯正歯科](/images/logo-sp.png)
