Vol.166 骨格性上顎前突に おける矯正治療
2024/01/21 矯正治療の不正咬合には、歯性要素と骨格性要素があり、どちらの比重が大きいかによって、矯正治療の難易度が変わります。歯性とは歯、骨格性とは骨(歯槽骨)です。
矯正治療は歯を動かすため、歯性要素が大きい場合はEasy Case、骨格性要素が大きい場合はHard Caseとなります。シビアな骨格性上顎前突や骨格性反対咬合は、通常の矯正治療だけでは治せないため、骨切り手術を併用した矯正治療が必要となります。
今回の患者様は41歳女性で、口元の突出感を治したいと考え来院されました。
レントゲン分析をしたところ、歯性要素はなく、骨格性要素が強い「上顎骨過成長を伴う骨格性上顎前突」という診断結果でした。
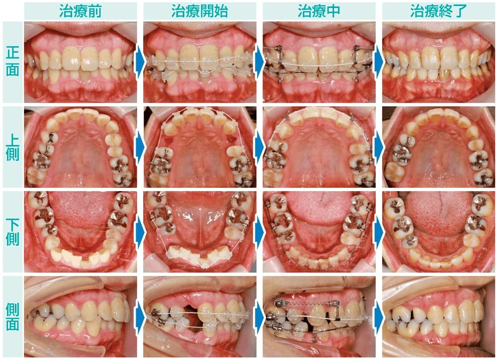
患者様は手術をせずに治したいと言われたため、上下左右の小臼歯を抜歯して口元の改善が得られるような通常の矯正治療を開始しました。
骨格性上顎前突の上顎前歯を後方に移動するのは力学的に非常に難しい矯正治療となります。
アンカースクリューを併用することによって、臼歯部の良好な咬合状態を保ちながら、3年の歳月をかけて前歯を下げる事に成功しました。
治療前後の比較写真にて、突出した口元がかなり改善しているのが分かります。
シビアな骨格性上顎前突を通常の矯正治療だけでここまで治せたことは大成功といってよいでしょう。


- 年齢・性別
- 41歳 女性
- 治療期間
- 36ヶ月
- 抜歯
- 上下小臼歯抜歯
- 治療費
- 80万円
- 治療内容
- 全顎矯正治療
- 施術の副作用(リスク)
- 矯正力による歯の痛み、器具による不快感や口内炎、虫歯や歯肉炎のリスク、歯根吸収、後戻り
![[指定自立支援医療機関/育成医療・更正医療]ふかつ歯科・矯正歯科](/images/logo.png)
![[指定自立支援医療機関/育成医療・更正医療]ふかつ歯科・矯正歯科](/images/logo-sp.png)
