Vol.168 カリエールを用いた骨格性反対咬合の治療について
2024/03/15 正常な噛み合わせは、上顎の前歯が下顎の前歯を覆っています。反対咬合とはそれが逆に噛み合っている状態をいいます。
また反対咬合には歯槽性のものと骨格性のものがあり、骨格性要素が強くなればなるほど、通常の矯正治療だけでは治療が難しく、顎の骨を切断する「骨切り」と呼ばれる外科的処置を併用した矯正治療が必要となります。患者様からしてみると、普通の矯正治療で治せるだろうと考えていたら、まさかの骨切りを勧められ、怖いし、痛そうだし、入院が必要と言われたし、どうしていいか分からず、先に進めなくなって矯正治療を断念してしまうことも少なくありません。
そこで今回は、骨格性要素が強い反対咬合でも骨切りをすることなく治すことができた症例をご紹介します。
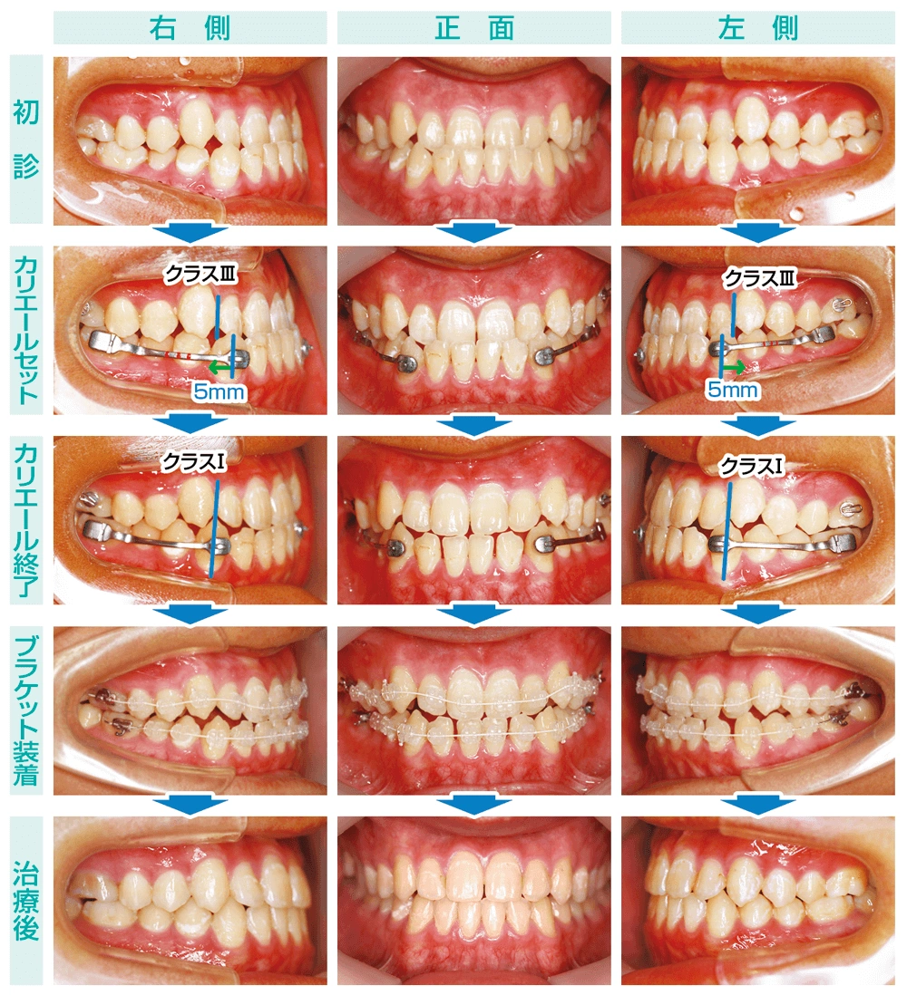
反対咬合とは下顎骨の過成長が原因で起こり、その臼歯における咬合状態をクラスⅢと呼びます。正常な咬合はクラスIです。クラスⅢからクラスIにまで、しっかりと臼歯関係を是正することができれば、骨切りをしなくてもよいのです。
今回の患者様は半年間、カリエールを使用して左右とも約5㎜の遠心移動が行え、完全にクラスIに是正することができました。治療開始から1年半という短期間で骨切りを併用しなくても骨格性反対咬合を治すことができた理由はカリエールを有効に使えたからです。

- 年齢・性別
- 17歳 男性
- 治療期間
- 18ヶ月
- 抜歯
- 親知らずの抜歯
- 治療費
- 80万
- 治療内容
- 全顎矯正
- 施術の副作用(リスク)
- 矯正力による歯の痛み、器具による不快感や口内炎、虫歯や歯肉炎のリスク、歯根吸収、後戻り
![[指定自立支援医療機関/育成医療・更正医療]ふかつ歯科・矯正歯科](/images/logo.png)
![[指定自立支援医療機関/育成医療・更正医療]ふかつ歯科・矯正歯科](/images/logo-sp.png)
