Vol.172 下顎歯列の左方偏位を伴う反対咬合における 矯正治療
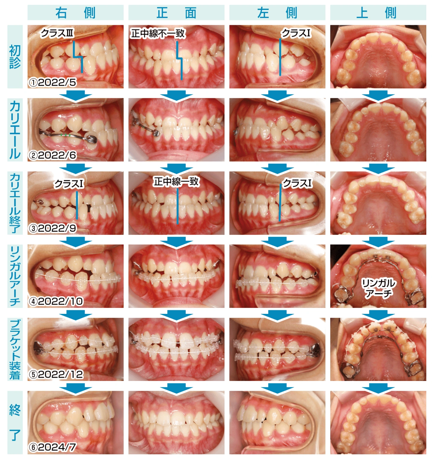
2024/07/2811歳の女の子です。初診時、反対咬合と顎の左右の歪みがみられます。顎の歪みの原因をレントゲンや模型などから精査したところ、骨格性の要素は少なく、歯列不正が主要素であるため、骨切りを用いた外科手術の必要はないと判断し、通常の歯列矯正で治療していくこととしました。
上顎歯列に対して、右側臼歯部がクラスⅢを呈しております。それに伴い前歯の正中線が左側にズレているのが分かります。左側臼歯部はクラスIを保っていますが、下顎歯列全体でみると左側に偏位しています。
まず、右側臼歯をクラスIに是正するため、カリエールモーションにて3ヶ月間ゴム掛けを頑張ってもらいました。是正後、リンガルアーチにて前歯の被蓋(反対咬合)を改善しました。その後、マルチブラケットにて前歯のスペース閉鎖と上下歯列の咬合の緊密化を図りました。
2年間の治療期間を経て、歯列全体が正常咬合となり、左右対称な歯並びに生まれ変わりました。それに伴って顎の歪みも改善されているのがスマイル写真の口角の位置をみれば分かります。矯正後の「あと戻り」も起こしにくい歯並びが構築できたと思います。

- 年齢・性別
- 11歳 女性
- 治療期間
- 24ヶ月
- 抜歯
- 非抜歯
- 治療費
- 80万
- 治療内容
- 全顎矯正
- 施術の副作用(リスク)
- 矯正力による歯の痛み、器具による不快感や口内炎、虫歯や歯肉炎のリスク、歯根吸収、後戻り
![[指定自立支援医療機関/育成医療・更正医療]ふかつ歯科・矯正歯科](/images/logo.png)
![[指定自立支援医療機関/育成医療・更正医療]ふかつ歯科・矯正歯科](/images/logo-sp.png)
