Vol.179 前歯部4本欠損を補う 1ピース型インプラントの補綴治療
2025/02/28 当院では、従来のインプラント治療法と比較して、より効率的で耐久性のあるAQBの1ピース型インプラントを使用しております。
この1ピース型インプラントは、フィクスチャーとアバットメントが一体型になっているため、手術が1回で完了し、構造がシンプルで壊れにくいのが特長です。
さらに、AQBインプラントはハイドロキシアパタイト(HA)コーティングが施されたチタン製です。このコーティングにより、骨との結合が早まり、治療期間の短縮が可能になります。
インプラント埋入後に初期固定が得られなかった場合でも、HAコーティングにより骨との固定力が強化されるため、インプラントの脱落リスクが低く、骨結合の成功率が非常に高いとされています。患者様に安心して治療を受けていただけるよう、最新の技術を駆使したインプラント治療を提供しています。
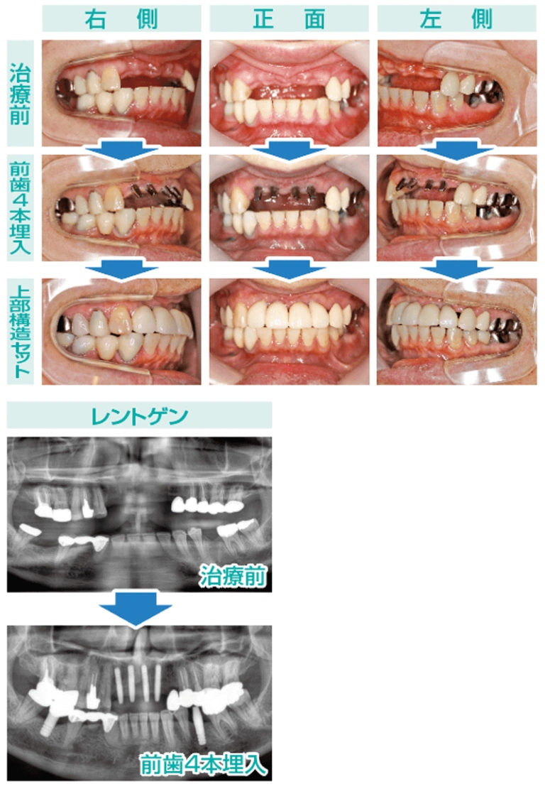
今回の症例写真をご覧ください。上顎前歯の4本全てが欠損しております。そこに4本のインプラントを埋入する場合、特に審美性と機能性の両方を考慮することが重要です。
当院で使用しているAQBインプラントは、直径3㎜の細いインプラントを含むラインナップがあるため、骨の狭いスペースにも柔軟に対応でき、骨量が限られている部位でも有効です。このような選択肢があることで、患者様により適した治療計画を立てることが可能となり、手術の成功率を高めることができます。特に上顎前歯部は審美的な要求が高い部分ですので、インプラントの選択が非常に重要となります。

- 年齢・性別
- 55歳 女性
- 治療期間
- 3ヶ月
- 抜歯
- なし
- 治療費
- 1本33万円
- 治療内容
- インプラント治療
- 施術の副作用(リスク)
- オペによる知覚障害。インプラントによる歯肉炎。インプラント脱落。
![[指定自立支援医療機関/育成医療・更正医療]ふかつ歯科・矯正歯科](/images/logo.png)
![[指定自立支援医療機関/育成医療・更正医療]ふかつ歯科・矯正歯科](/images/logo-sp.png)
